24 / 05 / 2023
Six Month Smile Treatment Update
Following my second adjustment appointment for the six month smile treatment I thought I would share with a you a close up of my teeth so you can see how quickly 6MS can achieve results.
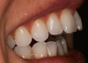
The first image was taken just before Rhod fitted my 6MS early November.

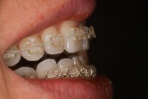
The second image was taken less than two months later at the end of December.

The overlap of my upper front central teeth has gone already, it is incredible! The lower teeth are also a lot straighter & I now have space where they were crowded before.
There are still lots of precise adjustments to follow, it is a great start. Looking forward to sharing with you all the end result!
If you wish you had straighter teeth & want to find out more, please ask any of our team at Absolute.
Christina, Dental Therapist.