23 / 05 / 2023
Imperfect Teeth – “One Of The Biggest Turn Offs”
A new survey from Iwhite Instant has found that imperfect teeth are one of the biggest turn offs.
The research shows that the top five turn offs for Brits as being:
- A cheesy chat up line – 77%
- Imperfect teeth – 65%
- If they pay too much attention to their mobile – 64%
- Arrogance – 53%
- Lack of hygiene – 52%
Carien Veldhuis, marketing manager at Iwhite Instant said “’It’s interesting to see what Britons consider to be the top turnoffs when meeting new people, and that cheesy chat up lines are considered to be the worst.”
“That being said, it’s no surprise that imperfect teeth came second on the top turnoffs either; this is one of those evolutionary things we look for in a mate.”
“That’s not to say people have to have the kind of perfect pearly whites we see in a magazine, but make sure you take good care of your teeth!’’
If you aren’t happy about any aspect of your smile, come and see us at Absolute Dental for a consultation and we may have a simple fix that could make your teeth less imperfect and make you smile more!


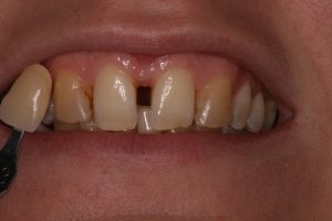
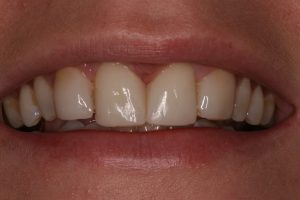
The pictures above are before and after pictures of a patient who came to see our clinical director Rhodri John, as they were unhappy about their smile.
After a course of tooth whitening and composite build ups (where the teeth are added tooth with a tooth coloured material and no natural tooth removed) the results are amazing, and this patient went away VERY happy.